南柏 矯正歯科
矯正歯科専門医
矯正治療とは、八重歯、乱杭歯(凸凹)、受け口、出っ歯、すきっ歯のような悪い歯並びや、かみ合わせ(不正咬合)をきれいに揃えて、上と下の歯のかみ合わせを良くし、これによって口もとの形を整えると同時に、食べ物を良く噛めるようにすることを目的としています。これに加えて、発音を明瞭にさせるとともに、虫歯や歯槽膿漏になることを防ぎ、健康を一段と増進させようとするものです。また、成長とともに美しさに敏感になってくる子供たちにとって、きれいな歯並びに整った容姿は、明るく、積極的な性格をもたらしてくれることでしょう。なぜ矯正治療が必要なのでしょう?歯並びが悪いと、次のような障害がおこる可能性があります。
- 食べ物をうまく噛めない(咀嚼機能障害)
- 歯が磨きにくいため虫歯になりやすく、口臭の原因にもなる
- 歯槽膿漏(歯周病)になりやすい
- 外見の悪さから劣等感におちいる(心理的障害)
以上の障害で見逃してはならないのが心理的障害です。他人とちがう咬み合わせや、外見の悪さを気にして、心理的に劣等感におちいる人も少なくありません。したがって、きれいな歯並びに治すことは口元を美しくするばかりでなく、うまく噛め、うまく話せるようにし、虫歯や歯周病を防ぐために、しいては心理的発達をもたらすために必要なことです。
子供の矯正歯科治療
乳歯が生え始めてから10年前後を経過して永久歯の咬合が完成します。この間に噛み合せが悪くなった場合、通常では2期に分けた矯正歯科治療をします。
まず、初期治療(第1期治療【早期治療】)は3歳~12歳頃までの永久歯の咬合完成前の段階で、良好な噛み合せが形成されるように誘導する咬合発育治療です。この時期は大きな成長発育期にあるので比較的簡単な装置で歯の位置や、顎の骨の位置の改善を行います。
第2に本格治療は永久歯の咬合がほぼ完成し、大きな成長期が過ぎ、厳密に歯を動かしてよい噛み合せを形成するために固定式の装置(マルチブラケット)を使用して矯正を行います。
※子供の矯正の第1期と第2期治療について

大人の矯正歯科治療
大人の矯正歯科治療は子供の矯正歯科治療と異なり、顎の骨の発育がありません。子供の矯正治療であれば、顎の骨の発育を考えた上で矯正を行っていますが、大人の矯正治療の場合は噛み合せを考えつつ、歯並びを移動させるという矯正になります。
歯並びを治すにあたり、若干の隙間を作ったり、歯を抜いて矯正することもあります。もちろんなるべく抜歯をせずに矯正治療ができれば良いことは確かです。また、子供で矯正治療を開始した場合(第1期治療)、大人の矯正治療(第2期治療)で歯を抜く必要がなくなったり、治療期間の短縮が可能であったりします。矯正治療よくある質問
-
- Q1
- なぜ歯並びや噛み合わせが悪くなるのですか?
-
- Q2
- 乳歯だけの時でも治療が必要ですか?
- Q3
- 何歳頃から、相談したらよいでしょうか?
- Q4
- 大人でも治療できますか?
- Q5
- 装置をつけると発音がし難くなりませんか?
子供の顔・体型が親に似るように遺伝的なものもあります。
また、指しゃぶりなどの癖やむし歯などで歯を抜いたままにしたことが原因で後天的に歯ならびを悪くすることもあります。また、食生活の変化により、アゴの骨が十分に発育しないので、歯ならびを悪くする傾向にあります。扁桃腺・アデノイド・アレルギ-性鼻炎などで、口を開けて息をするために起こると考えられる不正咬合もあります。上下のアゴの骨のバランスが悪い場合、 特に受け口や下のアゴが左右に曲がっている場合、乳歯列でも矯正治療することがあります。また指しゃぶりなどの悪い癖によって起こる不正咬合の場合にも、できるだけ早く原因を取り除くために治療することがあります。
症状によって、治療開始時期が違いますので、気づいた時点で、なるべく早くご相談されることをおすすめします。かかりつけの歯科医院がありましたら、まず歯科医師に相談ください。
成人の方でも矯正歯科治療は可能です。また高齢の方でも、矯正治療は可能ですが、むし歯や歯槽膿漏が治療されて、健康な口の中にしてから治療する必要があります。
最初はすこししゃべりづらくなりますが、数週間ほど経ち慣れてくれば普通にしゃべれるようになります。
逆に矯正治療が終わって、舌を含む口の周囲の機能が正常になり、発音がよくなる場合もあります。矯正歯科症例紹介
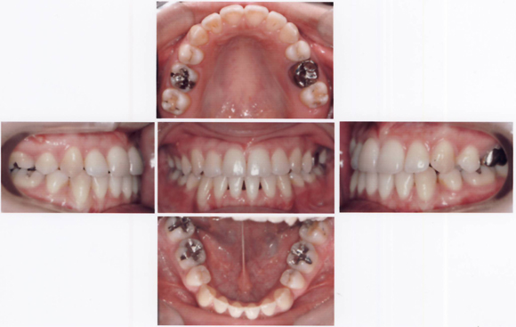
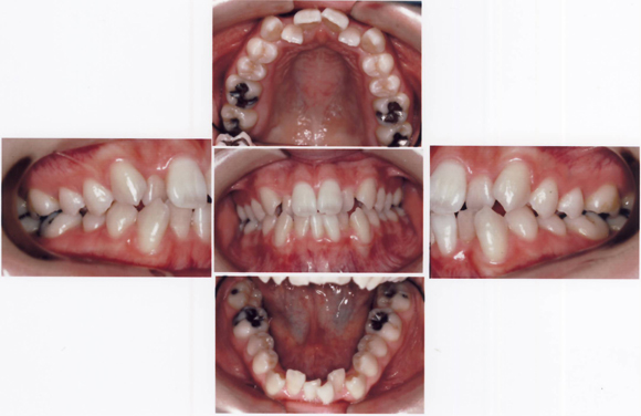
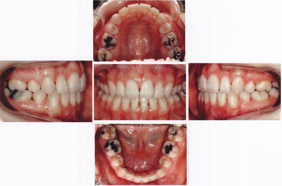
CASE1 下顎が出ているケース
術前

![]()
術後

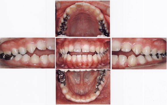
CASE2 開咬(前歯が咬み合わず開いている)ケース
術前

![]()
術後

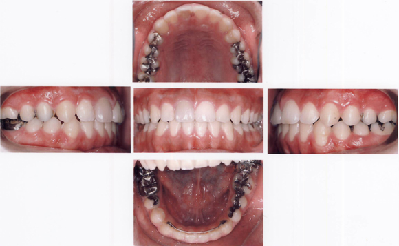
CASE3 上顎が出ているケース
術前

![]()
術後

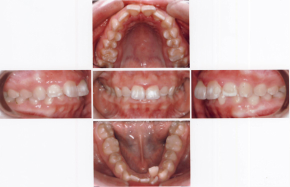
CASE4 乱杭歯(歯がひどく不揃いに生えている:八重歯や叢生も含む)ケース
術前

![]()
術後

